


01
将来の歯並びが
不安
02
前歯が出ている
気がする
03
顎が出ている
気がする
04
いびきをかいて
寝ている
05
姿勢が悪い
06
お口がいつも
開いている
上記のようなお悩みは、
口呼吸や悪い癖が
原因の場合が多いです。
そんな方には
ORT矯正がおすすめです


悪くなる根本原因から
治していく小児矯正です
ORT矯正とは、歯並びを悪くした原因を取り除く矯正治療です。
歯並びを整えるだけの矯正治療ではなく、正しい舌の位置や呼吸の仕方、間違った筋肉の使い方の改善を行うことで、歯並びが悪くなる原因に直接アプローチするため、矯正終了後も後戻りする心配がありません。
お子様の歯並びでお悩みの全ての親御さんにおすすめしたい矯正治療です。
抜歯をする
リスクが低い
お子様の顎の成長を利用して歯が並ぶスペースを作るため抜歯をするリスクが低いです。
後戻りが少ない
歯並びが悪くなる根本原因を改善するため、治療後に後戻りしてしまう可能性が低いです。
むし歯に
なりにくい
装置を取り外して歯みがきをすることができるため、ブラケットでの矯正に比べてむし歯になりにくいです。
取り外しが
可能なため
食事も普段通り
お食事の際は装置を取り外すことが出来るため、お食事も普段通りにできます。
学校で装着する
必要がない
装置は日中1時間と就寝時の着用でよいため、学校で着用する必要がありません。
痛みが少ない
柔らかい素材の装置となっているため、装着していても痛みや違和感がほとんどありません。
通院回数が少ない
他の矯正方法と比較すると、頻繁に通院する必要がないため、習い事などとも両立して行っていただけます。
口呼吸を
改善できる
お口周りの筋肉を鍛えて、口呼吸から鼻呼吸へと改善していきます。
顔つきが
理想的になる
顎の前方成長を促すため、バランスのよい綺麗な顔つきとなります。
※場合によっては別の装置を併用する場合がございます。
従来の矯正 |
ORT矯正 |
|
|---|---|---|
| 装置 | ![]() |
![]() |
| メリット |
|
|
| デメリット |
|
|
| 痛み | 痛みを伴う | ほとんど痛みはない |
| 抜歯の必要性 | 抜歯をしなければいけない場合がある | 抜歯をすることはほとんどない |
| 治療後の保定の 必要性 |
必ず必要 | 必要な場合もある |
| 後戻り | 後戻りをする可能性がある | 歯並びが悪くなる原因を取り除くため、後戻りすることは少ない |
3STEP

日中1~2時間の
装着

1日数分の
トレーニング

寝るときに装着
歯並びが
悪い
前歯が
出ている
下あごが
出ている
すきっぱ
噛み合わせの
ズレ
噛み合わせが
深い
前歯が噛み
合わない

呼吸の問題
口がポカンと開いていたり、睡眠時にいびきをかく、口呼吸など呼吸の問題で歯並びが悪くなってしまいます。

舌癖などの悪習癖
舌で歯を押し出したり、爪を噛む、頬杖などの癖があると、歯並びが悪くなってしまいます。

悪い姿勢
姿勢が悪いと身体が歪んでしまうため、歯並びが悪くなってしまう場合があります。
ORT矯正は、歯並びがキレイに整うことがゴールではなく、
歯並びが悪くなる根本原因の改善をさせることも
ゴールとして設定いたします。
唇が
閉じている
鼻で呼吸ができて
いる
舌が常に正しい
位置にある
正しい飲み込みが
できる
日本睡眠歯科学会認定医
による矯正治療
なぜ日本睡眠歯科学会の認定医が矯正治療を?と思われる方もいらっしゃるのではないでしょうか。
日本睡眠歯科学会は、睡眠時無呼吸症候群などの睡眠呼吸障害について学ぶ歯科唯一の学会です。
お子様が寝ている時イビキをかいていたり、日中の鼻づまり、口呼吸、お口ポカンなどの症状はありませんか?日本はそういった症状をお持ちのお子様が多い印象です。そういった症状は、こんなものだろうと放置していていいものではありません。実は呼吸障害が原因で、結果としてイビキ、鼻づまり、口呼吸、お口ポカンが発症している可能性があるのです。
そして、小児期に呼吸障害があると、歯並びが悪くなる可能性が指摘されており、脳や頭の成長にも影響すると言われています。歯並びの悪さは、呼吸障害を原因として結果的に発症した可能性があると、海外の著名な先生らが報告しています。
日本睡眠歯科学会認定医である院長は、そういった呼吸障害に着目した矯正治療を心がけています。歯並びを良くするだけでなく、鼻呼吸ができて、常にお口がしっかり閉じれている健康的な状態にすることが当院の重要な達成目標です。
トレーニングルーム完備
お子様の成長のポテンシャルを最大限引き出し、キレイな歯並びを保つためには、口腔内装置の装着と同時に、お口周りの筋肉を鍛えたり、呼吸や姿勢のトレーニングを行うことが大切です。
当院では、そのトレーニングを行う部屋を用意し、そこで効果的なトレーニング方法をレクチャーしています。
一緒に楽しく効率よく取り組んでいきましょう。

徹底した洗浄滅菌で
安心できる治療
安心、安全な診療には感染対策が不可欠です。
グリーンデンタル夫馬 総合歯科・口腔機能クリニックでは、器具の滅菌前に徹底した洗浄を行うために医療用の自動高温洗浄機を導入しました。
これにより洗浄のムラを無くし、滅菌前の洗浄が確実に行えます。滅菌機はヨーロッパ基準のクラスB高圧滅菌器を導入し、高水準の滅菌レベルを実現しました。
安心してご来院ください。

クラスB滅菌器

ハンドピース用
洗浄滅菌器

高機能歯科用器具
洗浄機
小児矯正に関する
多数の講演実績
当院の院長は、愛知県歯科医師会の学校歯科保健部での講演や、
デンツプライシロナ、オーティカ・プロモーション主催の講演など、
小児矯正に関する多数の講演実績があります。
特に、睡眠医学からみた不正咬合に対する
治療や予防に関する講演を行っております。
お子様の歯並びでお悩みの方はお気軽にご相談ください。
院内で定期的に開催予定
~夫馬先生による歯ならび勉強会~
お問い合わせや予約については、
お電話または下記のフォームからご連絡ください。

院長:夫馬 吉啓 先生
グリーンデンタル夫馬
総合歯科・口腔機能クリニック院長
略歴

お子様のお口や歯並びのお困りごとがどのような原因で起こっているのか明らかにするため、まずは口腔内やお顔、全身のお写真やレントゲン撮影など様々な検査を行います。 痛みを伴う検査はございませんのでご安心ください。

精密検査の結果をもとに、今後の流れやご自宅でできるトレーニングや食事法をお伝えし、治療に必要なマウスピースなどをお渡しします。舌の使い方の癖や噛み癖など、日々の習慣を改善することであごが自然と成長し、歯ならびの改善につながります。

ご自宅でトレーニングを継続いただきます。お子様が楽しくトレーニングを続けられるよう、ご家族の方の正しい理解とサポートが必要です。

来院時に装置やお口の中の状態、トレーニングの成果を確認します。お口の状態にあわせて治療をすすめていきます。
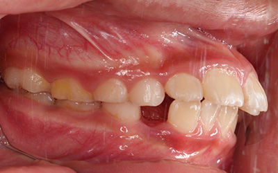
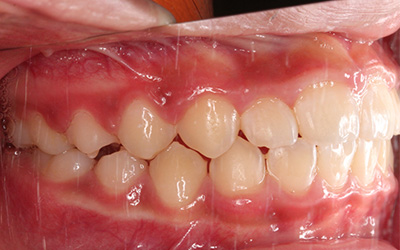
Before
After
| 年齢 | 7歳男児 |
|---|---|
| 主訴 | 反対咬合(受け口) |
| 治療期間 | 3年(2年+舌小帯切除の為1年延長) |
| 治療費用 | 契約料385,000円(税込)、管理料5,000円(税込)/月 |
| リスク・副作用 | お子さんが無意識に装置を外したり壊したりしてしまうことがあります。 取り外し式の装置ではお子さんご本人・保護者の方の協力を得られないと治療計画通りに治らないことがあります。 |
Before
After
| 年齢 | 7歳男児 |
|---|---|
| 主訴 | 開咬(前歯が咬み合わない) |
| 治療期間 | 2年 |
| 治療費用 | 契約料385,000円(税込)、管理料5,000円(税込)/月 |
| リスク・副作用 | お子さんが無意識に装置を外したり壊したりしてしまうことがあります。 取り外し式の装置ではお子さんご本人・保護者の方の協力を得られないと治療計画通りに治らないことがあります。 |
Before
After
| 年齢 | 10歳女児 |
|---|---|
| 主訴 | 上顎前突(出っ歯) |
| 治療期間 | 2年 |
| 治療費用 | 契約料440,000円(税込)、管理料5,000円(税込)/月 |
| リスク・副作用 | お子さんが無意識に装置を外したり壊したりしてしまうことがあります。 取り外し式の装置ではお子さんご本人・保護者の方の協力を得られないと治療計画通りに治らないことがあります。 |
Before
After
| 年齢 | 8歳男児 |
|---|---|
| 主訴 | 過蓋咬合(咬み合わせが深い) |
| 治療期間 | 2年 |
| 治療費用 | 契約料385,000円(税込)、管理料5,000円(税込)/月 |
| リスク・副作用 | お子さんが無意識に装置を外したり壊したりしてしまうことがあります。 取り外し式の装置ではお子さんご本人・保護者の方の協力を得られないと治療計画通りに治らないことがあります。 |
| 検査・診断(45分) ※口腔内写真・セファロ分析・模型作製・筋の診察・呼吸の計測 |
15,000円 |
|---|---|
| 契約料 一律 | 440,000円 407,000円(兄弟割) |
| 管理料(毎月1回分の処置料含) | 5,500円/月 |
| 処置料(月の来院2回目以降) | 3,300円 |
| 唾液検査と歯のクリーニング(30分) | 3,300円 |
| 睡眠簡易検査(オプション) ※いびきなど睡眠時無呼吸を疑う場合は検査をおすすめします |
5,500円 |
※価格は税込み表記です
※来院回数は基本的に月1~2回
※2024年6月改定
お支払い方法
お支払いは現金の他各種クレジットカード、デンタルローンにも対応しております。






デンタルローンでのお支払い例
44万円の場合、84回払いで
月々6,100円(税込)
(初回7,444円)
医療費控除

医療費控除とは、自分又は家族のために医療費を支払った際に、一定の金額の所得控除を受けることができる制度です。医療費控除は医療費の負担を軽減するために設けられた制度で、1年間で10万円以上の医療費が必要になった場合に、所得税の一部が還付されます。

ほとんどの子供たちは、お口の周りに様々な癖を持っています。
その癖によりお口周りの筋肉のバランスが乱れると、顎の成長発育に悪影響を及ぼし、その結果として歯並びが悪くなります。
この矯正治療は、従来の矯正治療とは全く概念が異なります。
従来の矯正治療は、歯並びが悪くなったという結果に対してのみ治療を行う対症療法であり、原因が除去されません。
そのため、後戻り(もとの悪い歯並びに戻ってしまうこと)する可能性が高いのですが、この矯正治療は歯並びが悪くなった原因に対してアプローチする原因療法のため、後戻りがほとんどありません。
お子様の成長期を利用して習慣づけられた癖を改善し、遺伝的に持っている機能を最大限に発揮させる矯正治療で、顔面成長も良くするので顔立ちもよくなります。
お子様の歯並びで気になることがございましたらお気軽にご相談ください。


〒483-8143
愛知県江南市小郷町伍大力104
| 診療時間 | 月 | 火 | 水 | 木 | 金 | 土 | 日 | 祝 |
|---|---|---|---|---|---|---|---|---|
| 9:00~12:00 | ● | ● | ● | / | ● | ● | / | / |
| 14:00~18:30 | ● | ● | ● | / | ● | ● | / | / |
※最終受付時間は18:00です。
休診日:木曜、日曜、祝日
江南市はもちろん、一宮市、岩倉市、大口町、扶桑町、小牧市のみならず、
遠方の患者様にも多数ご来院いただいております。
お車で
お越しの方へ
県道63号名古屋江南線(通称:名草線)沿いの「愛知トヨタ江南店」から南に1本目の角にあります。駐車場は10台用意しています。
公共交通機関で
お越しの方へ
最寄駅の名鉄犬山線「布袋駅」からはタクシーで約5分の場所にあります。
適用できない歯並びはありますか?
出っ歯や受け口、深い噛み合わせなど様々なタイプの歯並びを改善することができます。お子様の歯並びが気になる方は一度ご相談ください。
装置は学校にもつけていく必要がありますか?
学校にマウスピースをつけていく必要はありません。日中に最低1~2時間と就寝時の装着のみで構いませんので、お子様の負担も少ないです。
※症例により床装置をつけて学校に行っていただく場合があります。
矯正治療中の通院頻度はどのくらいですか?
基本的には、1ヶ月に1度ご来院いただければと考えております。歯並びの状態によって前後する可能性もあるため、状況に合わせて一人ひとりにお伝えさせていただきます。
ORT矯正はどうして他の矯正治療より後戻りが少ないのですか?
他の矯正方法とは異なり、ORT矯正では、歯並びが悪くなってしまった原因そのものを取り除くため、後戻りが少なくなります。そのため、また矯正治療をしなければいけなくなるといった心配も少ないのが特徴です。
ORT矯正は歯を抜く必要がありますか?
ワイヤーを使用する矯正では歯を抜くことでスペースを確保し、ワイヤーの力を利用して歯を移動させていきます。ですが、ORT矯正は顎を広げ、歯が並ぶスペースを確保して歯列を整えていくため、歯を抜くということはほとんどありません。
他の歯科医院と比較してから決めてもいいでしょうか?
もちろん構いません。矯正治療は長いお付き合いになり、費用も高額なため、当院の話だけではなく他の歯科医院さんの治療方針も聞いた上で、どの歯科医院で治療を始めるかをご検討ください。
ご質問などございましたら下記フォームよりご連絡ください。
矯正相談のご予約はお電話にて承っております。